
Implantes Dentales
En esta página encontrarás…
- Habla con un especialista ahora mismo
- ¿Cuándo puede ser necesario un implante dental?
- ¿Por qué elegir la implantología en Look Dental?
- El proceso del tratamiento de implantes dentales
- La diferencia de recuperar tu sonrisa
- Un tratamiento pensado para durar
- Valora tu caso con el Dr. Balabanian
- Preguntas frecuentes sobre implantes dentales
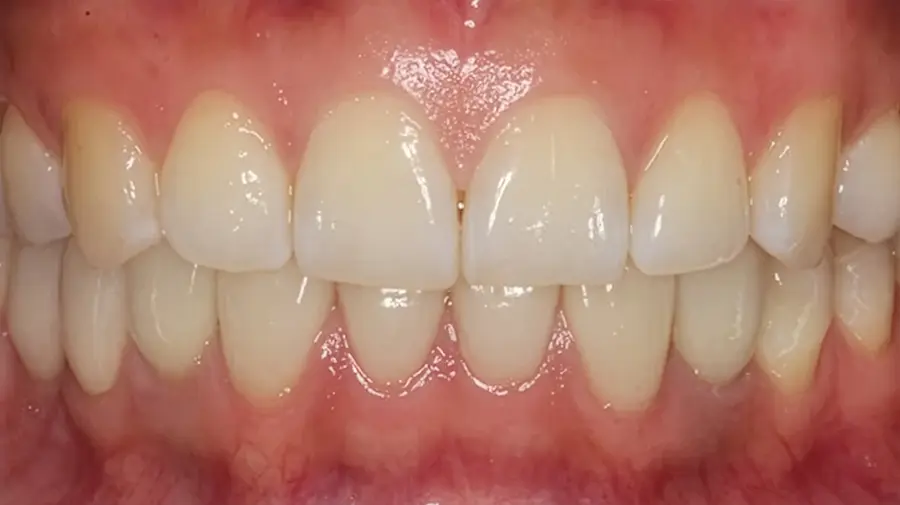
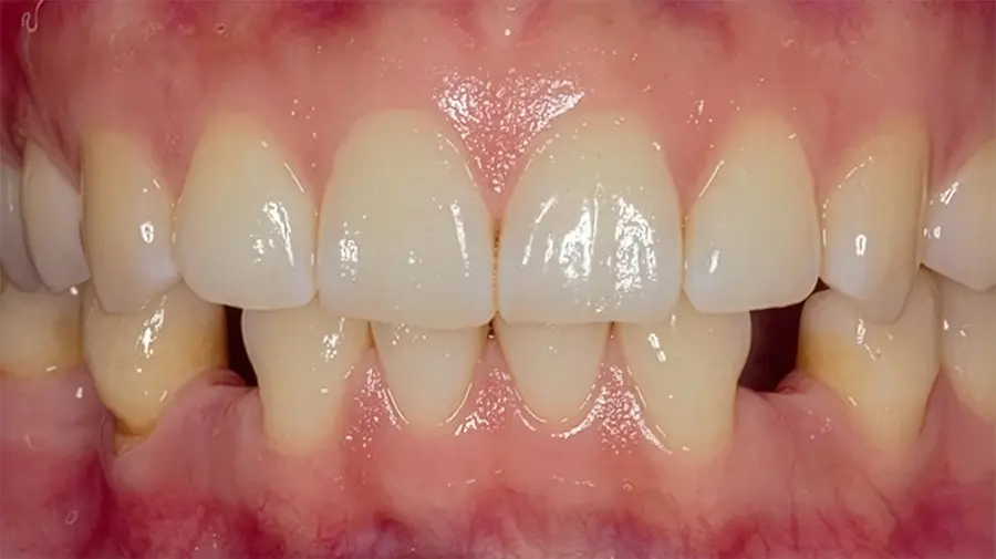
Recupera la funcionalidad y la estética de tu sonrisa con un tratamiento seguro, natural y duradero.
En Look Dental La Eliana realizamos tratamientos de implantes dentales planificados de forma personalizada, utilizando implantes de titanio biocompatible que se integran de forma natural con el hueso.
Habla con un especialista ahora mismo
Resolvemos tu consulta por WhatsApp en pocos minutos.
Más de 15.000 pacientes han confiado en nosotros.
67% de ellos han venido recomendados por otros pacientes!
¿Cuándo puede ser necesario un implante dental?
Los implantes dentales permiten sustituir piezas dentales perdidas o dañadas de forma estable y duradera.
Puede ser recomendable valorar un implante si:
Cada caso debe ser evaluado individualmente para determinar cuál es la mejor opción de tratamiento.
¿Por qué elegir la implantología en Look Dental?
En Look Dental La Eliana entendemos que un tratamiento dental debe ser seguro, respetuoso con la anatomía del paciente y planificado cuidadosamente.
Nuestro enfoque se basa en tres principios:
Biocompatibilidad total
Utilizamos implantes de titanio de grado médico que permiten una unión íntima y segura con el hueso (osteointegración), proporcionando una base sólida para la nueva pieza dental.
Protección de los dientes vecinos
A diferencia de otras soluciones como los puentes tradicionales, los implantes no requieren desgastar los dientes adyacentes.
Preservación del hueso facial
El implante sustituye la raíz dental y estimula el hueso, ayudando a mantener el volumen natural del rostro y evitando la reabsorción ósea.



El proceso del tratamiento de implantes dentales
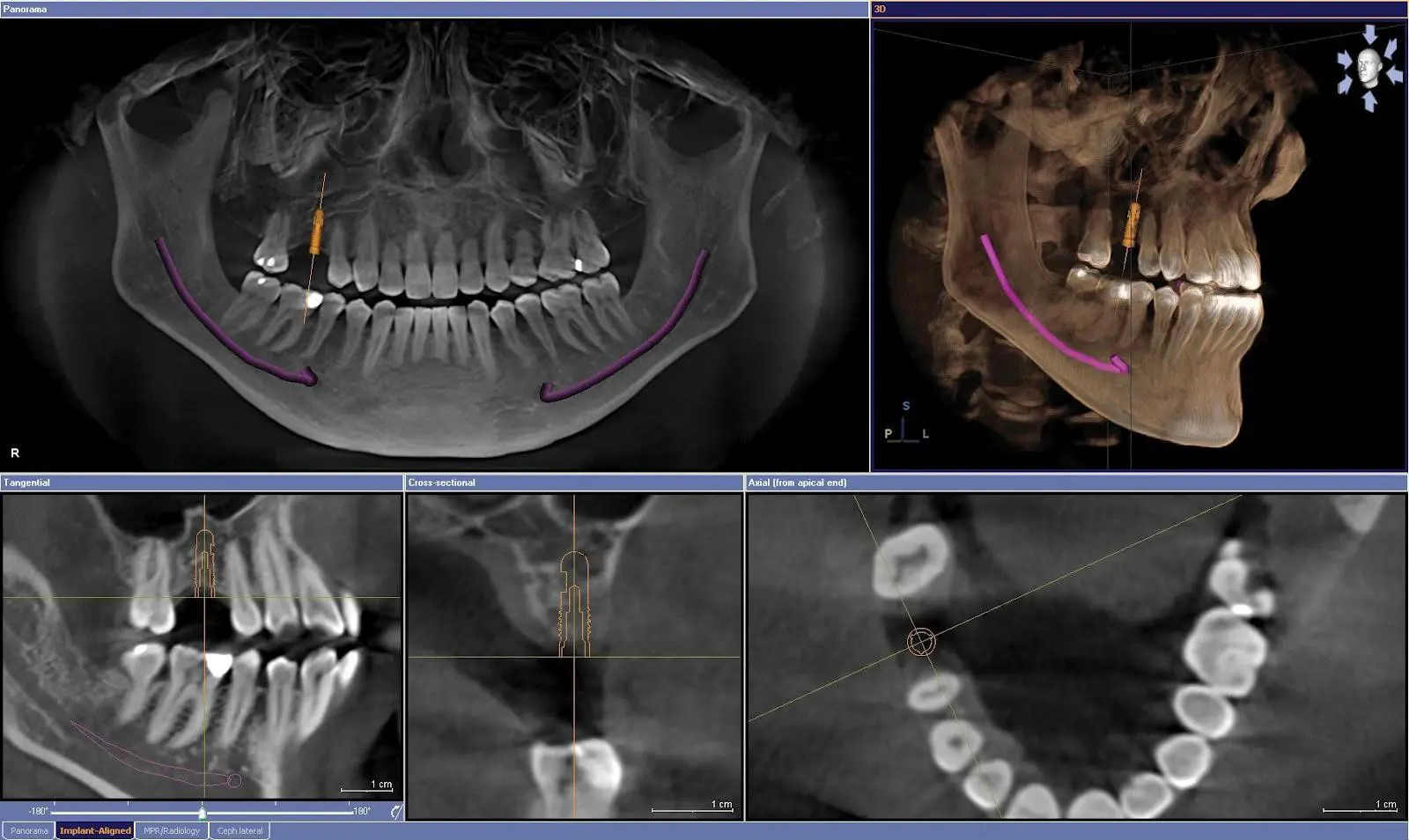
El tratamiento de implantología no consiste simplemente en colocar un implante dental. Se trata de un proceso clínico cuidadosamente planificado, en el que cada paso se estudia previamente para garantizar la máxima seguridad, estabilidad y predictibilidad del resultado. Antes de realizar cualquier intervención, el Dr. Balabanian evalúa el estado general de tu boca, la calidad y cantidad de hueso disponible, la posición de los dientes y la salud de las encías. En muchos casos también se realizan pruebas radiográficas o estudios en tres dimensiones que permiten planificar con precisión la posición del implante.

1 Diagnóstico completo
Realizamos un estudio clínico y radiológico para evaluar la calidad del hueso y planificar la posición exacta del implante en tu primera visita en Look Dental. Incluso disponemos de TAC 3D para casos más complejos.
2 Colocación del implante
El implante se coloca mediante un procedimiento preciso realizado con anestesia local, en un entorno tranquilo y controlado.
3 Integración con el hueso
Durante unas semanas el implante se integra de forma natural con el hueso.
4 Colocación de la corona definitiva
Una vez integrado, se coloca la pieza dental definitiva, diseñada para reproducir forma, color y función de los dientes naturales.
La diferencia de recuperar tu sonrisa
«No estamos sustituyendo dientes, estamos devolviendo la capacidad de disfrutar de un buen momento alrededor de una mesa sin preocupaciones.» — Dr. Esteban Balabanian
| El desafío actual | Con implantes dentales |
|---|---|
| Inseguridad al comer | Puedes masticar con normalidad |
| Prótesis incómodas | Estabilidad y firmeza |
| Huecos visibles | Estética natural |
| Pérdida de hueso | Estimulación ósea natural |
Un tratamiento pensado para durar
El objetivo del tratamiento con implantes no es solo reemplazar una pieza dental, sino devolver al paciente la tranquilidad y la seguridad al sonreír y al masticar.
En este punto, la calidad de los materiales es un factor fundamental para garantizar la máxima durabilidad del resultado. Es por esto que en Look Dental no se escatima en gastos. Un trabajo bien hecho y un cuidado regular, sumado a un acompañamiento al paciente durante todo el proceso, revisiones periódicas de mantenimiento, aseguran la longevidad del tratamiento.
Valora tu caso con el Dr. Balabanian
Si has perdido una pieza dental o quieres conocer qué opciones existen para tu caso, podemos realizar una valoración completa y explicarte las opciones de tratamiento y financiación.
Agenda tu cita gratuita para valorar tu caso
Escríbenos por WhatsApp y te llamaremos tan pronto como nos sea posible para buscar el momento que más se acomode a tu rutina diaria.

Preguntas frecuentes sobre implantes dentales
¿Duele el tratamiento de implantes?
La colocación del implante se realiza con anestesia local y suele ser un procedimiento bien tolerado por los pacientes.
¿Cuánto dura un implante dental?
Con un correcto mantenimiento y revisiones periódicas, los implantes dentales pueden durar muchos años.
¿Todos los pacientes pueden ponerse implantes?
Cada caso debe evaluarse mediante diagnóstico clínico y radiológico para determinar si el implante es la mejor opción.

